CAVERNOMUL CEREBRAL

Cavernoamele cerebrale sunt malformaţii vasculare formate dintr-un ghem fragil de capilare sanguine dilatate. Recuperarea și prognosticul depind de mai mulți factori, inclusiv localizarea cavernomului, amploarea intervenției chirurgicale și starea generală de sănătate a pacientului. Aflați mai mult despre cavernomul cerebral, cum se manifestă, ce investigații sunt necesare pentru diagnostic și ce opțiuni de tratament există, […]

CHIRURGIA GINECOLOGICĂ MINIM INVAZIVĂ

Chirurgia ginecologică minim invazivă este o tehnică modernă utilizată pentru diagnosticarea și tratarea afecțiunilor ginecologice prin metode care reduc trauma asupra organismului. Chirurgia ginecologică minim invazivă oferă o alternativă mai sigură și mai eficientă față de chirurgia clasică, fiind preferată de multe paciente și medici. Aflați mai mult despre chirurgia ginecologică minim invazivă, cum se […]

LUPTA MARIEI CU O AFECȚIUNE ONCOLOGICĂ

Maria a fost diagnosticată în urmă cu aproape doi ani cu cancer de colon local avansat, cu multiple metastaze. Fiind o fire optimista, nu s-a lasat coplesita. Sutinuta de familie si tratata la SANADOR, pacienta a reusit sa depaseasca aceasta cumpana a vietii. Deoarece se simte foarte bine, pacienta si-a reluat toate activitatile cotidiene. Maria […]

TRATAMENTUL INTEGRAT AL ISCHEMIEI CORONARIENE

Tratamentul modern al ischemiei coronariene este unul integrat, ce include toate metodele moderne de tratament, pentru a obține cele mai bune rezultate. Pentru a beneficia de tratamente moderne integrate, pacienții cu boală coronariană ischemică trebuie să se adreseze unor centre specializate, cu dotări de ultimă generație și cu o echipă medicală experimentată. Aflați mai mult […]

RECIDIVA ÎN CANCERELE GINECOLOGICE

Cancerul recidivează uneori deoarece tratamentul nu reușește întotdeauna să distrugă toate celulele anormale, ce pot continua să se dezvolte. Tratamentul pentru recidiva tumorală include repetarea tratamentului inițial, realizarea unei operații pentru excizia noilor tumori, administrarea altor medicamente chimioterapice. De asemenea pot fi aplicate terapiile țintite sau imunoterapia. Aflați mai mult despre recidiva vaginală, de ce […]

NAȘTEREA NATURALĂ ȘI PRIN CEZARIANĂ

Cezariana este o intervenție chirurgicală folosită atunci când nașterea naturală nu se poate face în siguranță. Nașterea prin cezariană poate fi programată sau se poate efectua în regim de urgență. Este important ca maternitatea aleasă să dispună, pe lângă Secția de Neonatologie, și de o Secție de Terapie Intensivă neonatală, unde copiii născuți prematur sau […]

CHIRURGIA GLANDELOR SUPRARENALE

Situate pe fiecare rinichi, glandelele suprarenalele furnizează hormonii necesari pentru metabolism, imunitate, tensiune arterială și alte funcții vitale ale organismului. In mod frecvent, interventia chirurgicala nu presupune complicatii, iar timpul de spitalizare este scurt. Aflați mai mult despre chirurgia glandelor suprarenale, ce implică și când este indicată, de la 𝐃𝐫. 𝐑𝐚𝐝𝐮 𝐌𝐢𝐡𝐚𝐢, medic primar chirurgie […]

FOTOGRAFIA DENTARĂ

Fotografiile orale pot fi utilizate pentru documentarea stării inițiale a pacientului, ajutând medicul stomatolog să urmărească evoluția în timp și să evalueze eficacitatea tratamentului. Fotografiile pot fi folosite pentru a comunica mai eficient cu pacientul, permițându-le să înțeleagă mai bine problemele lor dentare și să fie mai implicați în procesul de tratament. Fotografiile pot oferi […]

TRANSPLANTUL HEPATIC

Transplantul hepatic este o interventie chirurgicala complexa indicată pacienților cu insuficiență hepatică cronică în stadiu final. Speranța de viață după operatie este de circa 75%, la cinci ani, 53% dintre pacienți supraviețuind peste douăzeci de ani. Aflați mai mult despre transplantul de ficat, când este indicat și cum se realizează, de la 𝐏𝐫𝐨𝐟. 𝐃𝐫. 𝐕𝐥𝐚𝐝 […]

NU NEGLIJAȚI DUREREA ÎN PIEPT!

Durerea în piept sau durerea toracică anterioară este o senzație de disconfort care poate să iradieze în sus, până la nivelul maxilarului, pe unul sau pe ambele brațe, sau spre spate. Durerea în piept poate avea diferite cauze, cele mai frecvente fiind afecțiunile cardiace, pulmonare sau cele care țin de sistemul digestiv. Aflați mai mult […]

SOLUȚII MODERNE DE SALVARE A DANTURII

Parodontoza denumita si boala ”dintilor frumosi” este o maladie infectioasa care afecteaza structurile de sustinere ale dintilor. Tehnologiile moderne ce au patruns si in domeniul stomatologiei permit azi conservarea chiar si a dintilor care au un grad mare de mobilitate. Mai multe detalii ne ofera dr. Octavian Munteanu, medic stomatolog cu competenta in implantologia orala […]

APNEEA DE SOMN

Apneea de somn este o tulburare caracterizată prin pauze repetate în respirație pe parcursul somnului. Pauzele dureaza de la câteva secunde, până la câteva minute și pot apărea de mai multe ori pe oră. Prevenția apneei de somn implică menținerea unei greutăți corporale sănătoase, evitarea consumului de alcool și sedative, renunțarea la fumat dormitul pe […]

INGRIJIREA NOU NĂSCUȚILOR

Personalul medical de specialitate supravegheaza cu atentie transformarile fiziologice ce apar in primele zile din viata oricarui nou nascut. n cazul copiilor nascuti prematur monitorizarea se prelungeste pe parcursul mai multor luni. Ei beneficiază de alimentație artificială prin intermediul pompelor de perfuzie. Aflați mai mult despre îngrijirea optimă a nou-născutului și ce implică aceasta, de […]

BIOPSIA PROSTATICĂ DE FUZIUNE

Biopsia prostatică de fuziune, denumită și fusion biopsy, este în acest moment cel mai avansat tip de puncție biopsie prostatică și permite stabilirea diagnosticului de certitudine al cancerului de prostată. Procedura este indicată tuturor pacienților care au recomandare pentru puncție biopsie prostatică, dar și celor care necesită repetarea unei biopsii, precum și pacienților cu cancer […]

TRATAMENTUL ANEVRISMULUI DE AORTĂ ABDOMINALĂ

𝐀𝐧𝐞𝐯𝐫𝐢𝐬𝐦𝐮𝐥 𝐝𝐞 𝐚𝐨𝐫𝐭𝐚̆ 𝐚𝐛𝐝𝐨𝐦𝐢𝐧𝐚𝐥𝐚̆ poate fi tratat modern, printr-o procedură endovasculară minim invazivă – EVAR – de implantare a unei endoproteze în interiorul aortei, utilizându-se un abord arterial transfemural percutanat. Procedura EVAR este realizată în laboratorul de cateterism vascular, sub control angiografic, cu rezultate foarte bune. Aflați mai mult despre tratamentul anevrismului de aortă abdominală, […]

OBICEIURI VICIOASE LA COPII

Din punct de vedere ortodontic, numim obiceiuri vicioase – acele comportamente repetitive ale copilului sau de ce nu, ale adolescentului sau adultului, care au un efect daunator asupra structurilor dento-faciale si cel mai important, care pot genera sau agrava anumite anomalii dento-maxilare. Printre acestea se intalneste frecvent respiratia orala, atunci cand copilul tinde sa stea […]

DUREREA ÎN PIEPT

Durerea în piept este unul dintre simptomele cele mai frecvente care îi determină pe pacienți să se prezinte la Compartimentul de Primiri Urgențe. De multe ori, durerea toracică indică o afecțiune severă, precum infarctul miocardic, disecția de aortă sau tromboembolismul pulmonar, care pot pune viața în pericol. Aflați mai mult despre durerea în piept, ce […]

STOMATOLOGII DE MÂINE, ÎN VIZITĂ LA DESTINY PARK

Destiny Park este locul unde copiii intre 3 si 14 ani se joaca si invata, in egala masura, in ce constau diferite meserii. Ca si in viata reala, activitatea lor este rasplatita. In cazul de fata, cei mici primesc niste bancnote denumite bani magici. Timp de cateva ore prichindeii pot fi pe rand: piloți, prezentatori […]

BOALA PARKINSON

Boala Parkinson apare in general dupa 60 de ani, insa una din 10 persoane poate prezenta simptome chiar si inaintea acestei varste. Tratamentul bolii Parkinson vizează ameliorarea simptomelor și asigurarea unei bune calități a vieții. Aflați mai mult despre semnele caracteristice bolii Parkinson și când este indicată consultația la medicul neurolog de la Dr. Roxana Popovici, șefa […]

CUM SCĂPĂM DE URTICARIE

Urticaria este o afectiune predominant alergica, ce se manifesta la nivelul straturilor superficiale ale pielii si creează un disconfort ridicat. Tratamentul urticariei trebuie sa aiba in vedere cauza, factorul care a declanșat reacția cutanată. Pentru ameliorarea unor efecte ale bolii, cum ar fi mancarimea, pot fi folosite solutii mentolate sau diverse creme. Aflați mai multe […]

HERNIILE ABDOMINALE TRATATE CU ROBOTUL CHIRURGICAL

Hernia abdominala presupune exteriorizarea unui organ din interiorul cavitatii abdominale pe sub piele, printr- un defect preexistent al musculaturii. Afectiunea se trateaza numai chirurgical. In cadrul aceleiasi interventii o hernie inghinala bilaterala se poate repara si pe stanga si pe dreapta, fara incizii suplimentare. Recuperarea postoperatorie este foarte rapida, iar durerile sunt mult mai mici. […]

TUMOR BOARD

La ora actuala sunt disponibile mai multe tratamente pentru cancer. Tipul acestora si ordinea in care vor fi administrate sunt stabilite in cadrul unei comisii oncologice multidisciplinare, denumita tumor board. De regula, intr-un tumor board sunt inclusi medici oncologi, chirurgi, radioterapeuti, radiologi si alti experti care decid strategia terapeutica optima. Obiectivul principal este imbunatatirea ingrijirii […]

TUMORILE MĂDUVEI SPINĂRII

Formatiuni benigne sau maligne, tumorile maduvei spinarii apar in interiorul si exteriorul acesteia sau in apropierea vertebrelor. In cazul tumorilor maligne, operația este doar o etapa dintr-un întreg proces. Astfel pacientul va trebui sa continue tratamentul oncologic pe durata mai multor luni. Aflați mai mult despre tumorile măduvei spinării, cum apar, cum se manifestă, cum […]

PROBLEME MEDICALE ÎN SEZONUL RECE

Sezonul rece aduce, pe lângă bucuria sărbătorilor și a sporturilor de iarnă, și o serie de probleme nedorite. Incepand cu diferite afecțiuni respiratorii, agravări ale unor boli cronice pe fondul temperaturilor foarte scăzute până la accidentări, care necesită acordarea de îngrijiri la compartimentul de primiri urgențe. Aflați mai mult despre problemele medicale ce pot apărea […]

BENEFICIILE MICSORARII STOMACULUI

Bypassul gastric este o procedura minim invaziva ideala pentru tratamentul diabetului zaharat asociat obezitatii. Dupa operatie pacientul va manca mai puțin, excesul ponderal diminuându-se cu circa 80%. Deoarece în urma intervenției, capacitatea de absorbție a organismului scade, pacientul va trebui sa includa in alimentatie suplimente pe baza de vitamine și minerale. Aflați care mai mult […]

ABDOMENUL ACUT: CAUZE, SIMPTOME, TRATAMENT

Abdomenul acut este sintagma care descrie o urgenta medicala ce se manifestă, în primul rand, printr-o durere abdominala de intensitate mare. Durerea brusca si puternica in zona a abdomenului trebuie tratata urgent pentru a se evita complicatii ce pot pune viata in pericol. Aflați mai mult despre diagnosticul și tratamentul abdomenului acut, dar și ce […]

CUM RECUNOAȘTEM SEMNELE UNUI AVC?

Accidentul vascular cerebral este o urgență majoră. Recunoașterea semnelor și prezentarea fără întârziere la un compartiment de primiri urgențe sunt esențiale pentru asigurarea tratamentului optim. Semnele și simptomele unui AVC sunt: Cefaleea (durere de cap), tulburări senzitive, sensibilitate cutanată, sensibilitate tactilă, sensibilitate proprioceptivă, tulburări de motilitate, imposibilitatea de a mișca o mână, imposibilitatea de a […]

DIAGNOSTICUL CANCERULUI DE SÂN

Statisticile arata ca, pe parcursul vieții, una din opt femei, sufera de cancer la san. Boala poate fi diagnosticata corect intr-un centru de senologie, unitate medicala specializata si in rezolvarea terapeutica a tuturor problemelor mamare, maligne, benigne sau estetice. Aflați mai mult despre diagnosticul cancerului de sân, ce investigații imagistice sunt recomandate și când trebuie […]

ALERGIA LA AMBROZIE

Polenul extrem de fin al ambroziei este purtat de vant si inhalat involuntar. Particulele microscopice de polen sunt inspirate, fixandu-se pe mucoasa nasului sau a plămânilor. Ulterior se produc reacții alergice si apar urmatoarele simptome: rinoree alergică ( curge nasul), respiratie dificila, senzatie de nas infundat, ochi roșii care lăcrimează, strănut, tuse, gât iritat, mâncărimi […]

FERTILIZAREA IN VITRO

Infertilitatea se refera la situatia in care un cuplu sanatos, nu reuseste sa obtina o sarcina intr-un an de zile. Daca varsta partenerei trece de 35 de ani, cuplul este considerat infertil dupa 6 luni de relatii intime. Tratamentul dureaza circa doua saptamani. Rata de succes a acestei proceduri de reproducere umana asistata medical depinde […]

OBEZITATEA LA COPII

Potrivit unor studii internaționale, rata obezității infantile la nivel mondial a crescut de zece ori în ultimele patru decenii. Adolescenții și copiii obezi prezintă riscuri crescute de a dezvolta boli cardiovasculare, endocrine, gastrointestinale, neurologice, pulmonare, afecțiuni ortopedice, dermatologice si psihosociale. Aflați mai mult despre obezitatea la copii, de ce apare, care sunt consecințele și cum […]

PROTEZAREA ARTICULARĂ

Distrugerea ireversibila a articulatiilor poate fi cauzata de artroze- afectiuni cronice degenerative ale cartilajului si elementelor osoase – precum si de traumatisme. Artroplastia reprezintă o procedură chirurgicală utilizată pentru a reface integritatea și funcția unei articulații. Recuperarea incepe a doua zi dupa operatie si se efectueaza in regim ambulatoriu, circa 4-6 saptamani. Dupa acest interval […]

OCTAV A ÎNVINS 4 TIPURI DE CANCER

În mai bine de 20 de ani, Octav a învins patru tipuri de cancer: melanom, cancer de rinichi, cancer de vezică urinară și cancer pulmonar. Pentru cancerul pulmonar, Octav a ales să se trateze la SANADOR. În prezent, revine periodic la acest spital pentru tratamentul oncologic. Octav este un exemplu de putere, ambiție, forță și […]

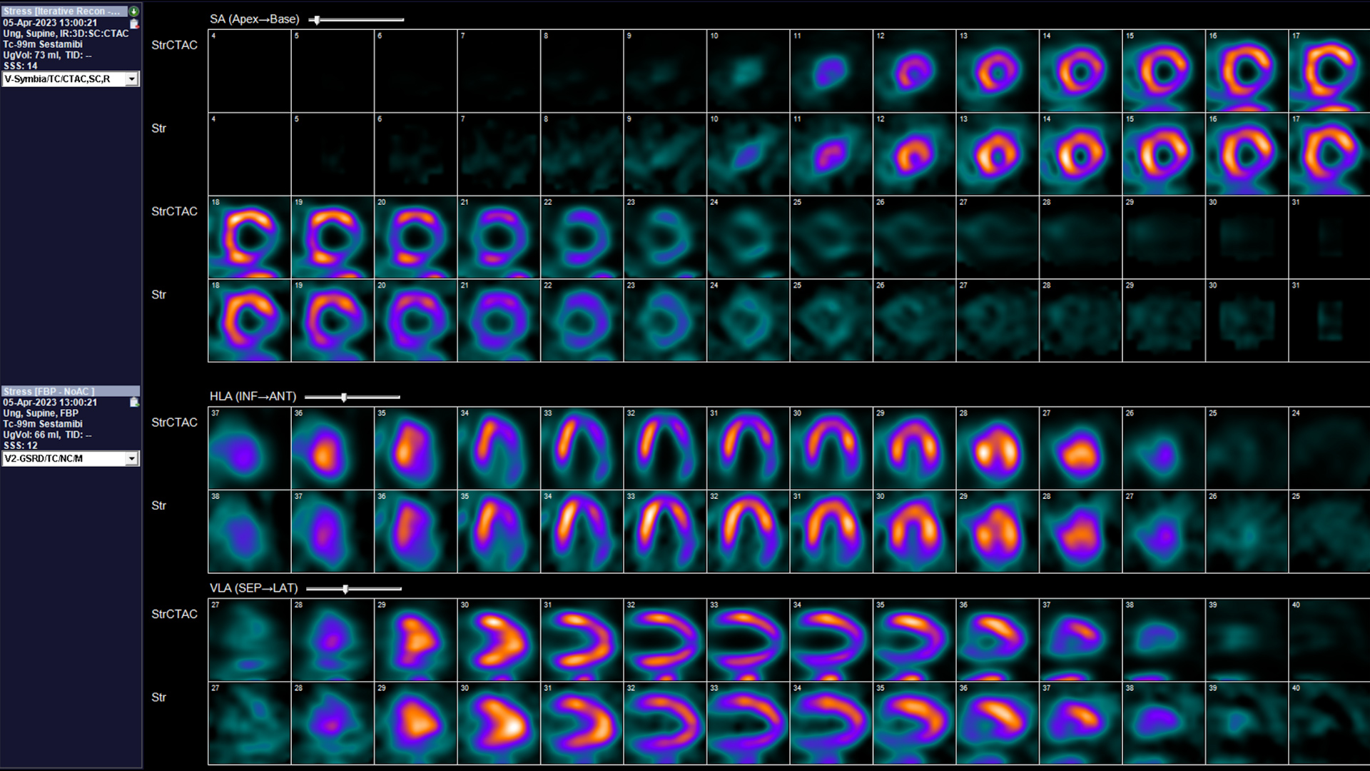
CE ESTE SCINTIGRAFIA DE CORD?

Scintigrafia este o metodă de medicină nucleară, non invaziva, de evaluare a fluxului sanguin al muschiului inimii. Substanța utilizată în timpul investigației se administrează venos, nu este alergogenă și nu intră în interacțiune cu medicația de fond a pacientului. Scintigraful este un aparat deschis, care nu genereaza disconfort persoanelor claustrofobe. Aflați ce informații putem obține […]

CANCERUL DE PROSTATA: DIAGNOSTIC SI TRATAMENT

Cancerul de prostata este cea mai frecventa afectiune maligna in randul barbatilor. În jur de 60% dintre cazurile diagnosticate sunt la bărbații cu vârsta de peste 65 de ani. Ca in toate tipurile de cancer, timpul este un factor crucial, detectarea procesului neoplazic intr-o faza cat mai precoce, confera cele mai bune sanse de tratament. […]

ANEVRISMUL TORACO ABDOMINAL

La Spitalul Clinic SANADOR, echipa medicală condusă de Prof. Dr. Victor Costache a realizat o nouă premieră națională în tratamentul endovascular al anevrismului toraco-abdominal, printr-o procedură de cardiologie intervențională, cu ajutorul angiografului. Pentru prima dată în România a fost utilizată tehnologia Relay Pro de la Terumo Aortic, la un pacient de 76 de ani. Bărbatul […]

UN ZÂMBET FERMECĂTOR IN 24 DE ORE

Image by nakaridore on Freepik Persoanele fără dinți, parțial sau total, au șansa de a recăpăta un zâmbet de invidiat, în numai 24 de ore. In aceasta editie a emisiunii ”Reteta Sanatatii”, Dr. Alexandru Ciucu, medic dentist cu competenta in implantologie, ne vorbeste despre sistemul Fast&Fixed. Dr. Alexandru Ciucu: ”Grație ultimelor tehnologii în implantologia orală, […]